抗体产品星推荐第二十五期|Anti-HMGB1 Polyclonal Antibody-商家动态-资讯-生物在线

抗体产品星推荐第二十五期|Anti-HMGB1 Polyclonal Antibody

作者:北京索莱宝科技有限公司 2025-02-27T00:00 (访问量:35150)


脓毒症(sepsis)是机体对感染的反应失调而导致的器官功能障碍。当机体遭受感染时,免疫系统会被激活以清除病原体,但在脓毒症患者中,这种免疫反应会失去控制,引发过度的炎症反应,进而对机体自身的组织和器官造成损伤。高迁移率族蛋白B1(HMGB1,high mobility group box 1 protein)是一种在细胞内广泛存在的非组蛋白染色体结合蛋白,一旦分泌到细胞外,即可发挥致炎作用,是内毒素致死效应的晚期重要炎症介质。HMGB1在脓毒症、肿瘤、关节炎等多种疾病的发病过程发挥着重要作用。小编本期推荐的明星抗体K116363P,可是侦察HMGB1蛋白的得力干将,让我们一起来认识下吧!

 

明星抗体

三维数据卡

抗体产品星推荐第二十五期|Anti-HMGB1 Polyclonal Antibody

 

      抗体靶向

 

 

 

人类HMGB1基因位于位于13号染色体的13q12区段,包括5个外显子和4个内含子。HMGB1蛋白由3个结构域组成:N-末端的A-box高度保守,参与DNA结合;中间的B-box具有DNA结合能力;C末端的C-tail富含天冬氨酸和谷氨酸残基,可调节HMGB1与DNA的亲和力。该蛋白在细胞核中,主要参与DNA的稳定、基因表达调节和DNA修复;在细胞质中,参与细胞内钙离子平衡、线粒体功能调节以及自噬和应激反应的信号传导;在细胞外,其作为DAMP分子,通过激活免疫受体介导炎症和免疫反应,促进组织生长和组织再生。这些多功能特性使HMGB1在多种生理和病理过程中发挥重要作用。

 

蛋白分子量

 

 

 

 

 

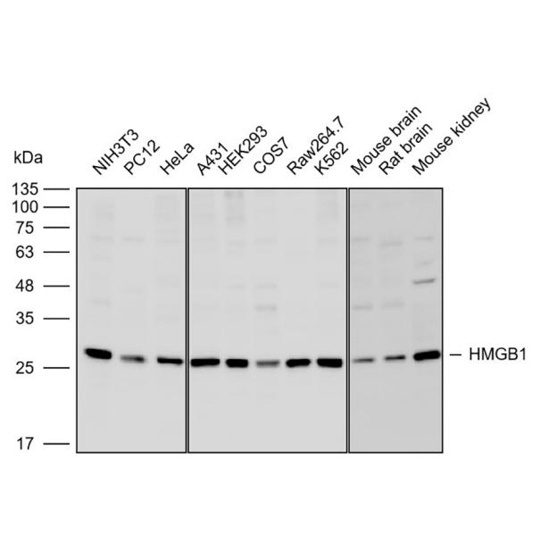
HMGB1蛋白质的标准序列含有215个氨基酸,理论分子量约25kDa,实际蛋白分子量约27kDa(参考Western blot验证结果)。

抗体产品星推荐第二十五期|Anti-HMGB1 Polyclonal Antibody

图 1 K116363P-Western blot验证

 

 

 

亚细胞定位

 

高迁移率族蛋白B1(HMGB1)主要定位于细胞核、细胞质、细胞膜、核内体,或被分泌至细胞外

 

抗体产品星推荐第二十五期|Anti-HMGB1 Polyclonal Antibody

 

图 2 HMGB1的亚细胞定位示意图

 

 

 

组织分布

 

 

 

 

 

HMGB1在多种组织中广泛分布,包括淋巴组织、脑、肝、肺、心、脾和肾等。HMGB1除在肝、脑组织中主要存在于胞浆外,在大多数组织中存在于胞核。这种广泛的分布和不同的亚细胞定位使得HMGB1能够在多种生理和病理过程中发挥其关键作用。

抗体产品星推荐第二十五期|Anti-HMGB1 Polyclonal Antibody

图 3 K116363P-Immunohistochemistry验证

抗体产品星推荐第二十五期|Anti-HMGB1 Polyclonal Antibody

图 4 K116363P-Immunofluorescence验证

 

 

生物学功能

 

高迁移率族蛋白1(HMGB1)作为一种多功能蛋白,在多种生理和病理过程中发挥重要作用。HMGB1能够激活Toll样受体4(TLR4)和晚期糖基化终产物受体(RAGE)介导的信号通路,从而调节促炎因子的水平,参与炎症反应。在心脑血管疾病中,HMGB1的异常表达与炎症反应密切相关,其作为生物标志物和潜在治疗靶点的研究正在不断深入。在癌症领域,HMGB1的过表达在多种肿瘤中普遍存在。它通过增强抗凋亡机制、促进炎症反应、免疫逃逸以及有氧糖酵解等方式,推动肿瘤的生长、增殖、迁移和血管生成。此外,HMGB1在肿瘤微环境中以旁分泌和自分泌因子的形式存在,调节肿瘤微环境中的炎症和免疫抑制,进而影响肿瘤的进展。在皮肤疾病方面,HMGB1能够下调表皮相关蛋白(如丝聚蛋白)的表达,进而影响表皮细胞的生长、分化和成熟,损害皮肤屏障功能,从而促进特应性皮炎等炎症性皮肤病的发生。这些功能特性使得HMGB1在炎症、癌症和皮肤疾病等领域具有重要的研究和应用价值。

 

相关产品

 

 

 

产品货号

产品名称

P09142

Recombinant human

HMGB1 protein

K106630P-Ag

HMGB1 Antibody

Blocking Peptide

K116363P

Anti-HMGB1

Polyclonal Antibody

K009115P

Anti-HMGB1

Polyclonal Antibody

K003412P

Anti-HMGB1

Polyclonal Antibody

K106630P

Anti-HMGB1

Polyclonal Antibody

K010501P

Anti-HMGB1

Polyclonal Antibody

K011504M

Anti-HMGB1

Monoclonal Antibody

K116263P

Anti-HMGB1

Polyclonal Antibody

K115487P

Anti-HMGB1

Polyclonal Antibody

SEKM-0145

Mouse HMGB1 ELISA Kit

SEKH-0409

Human HMGB1 ELISA Kit

SEKR-0074

Rat HMGB1 ELISA Kit

SE134

羊抗兔IgG-HRP

SF131

羊抗小鼠IgG–FITC

K1034G-AF594

SAlexa Fluor 594标记的

羊抗兔IgG

VT016674

pLVX-shRNA1-HMGB1

(human)-shRNA3

PR1910

彩虹180广谱蛋白Marker

(11-180KD)

PC0020

BCA蛋白浓度测定试剂盒

SWBT-001A

Western blot通用试剂盒(兔)

PVDF膜-0.45μm

SIHCT-001

IHC通用试剂盒(兔/小鼠)

PE0010

ECL Plus超敏发光液

P1200

SDS-PAGE凝胶制备试剂盒

SP0041

通用SP检测试剂盒

 

 

 

 

 

北京索莱宝科技有限公司 商家主页

地 址: 北京市北京经济技术开发区环科中路16号26幢3层301

联系人: 索莱宝-龚思雨

电 话: 010-50973130

传 真:

Email:3193328036@qq.com

相关咨询
ADVERTISEMENT