丝氨酸/苏氨酸激酶家族是一类通过磷酸化修饰调控细胞生命活动的关键蛋白激酶,广泛参与信号转导、代谢调控、细胞周期和应激响应等重要生理过程。该家族包含多个亚类(如AGC、CaMK、CMGC等),通过级联反应传递外界信号,其异常活化与癌症、神经退行性疾病等密切相关。FASTK是该家族的特殊成员,定位于线粒体,兼具激酶活性和RNA结合能力,主要调控线粒体RNA代谢和基因表达,在细胞能量代谢和凋亡调控中发挥独特作用。本期为您推荐明星抗体K109635P,用来检测FASTK的存在,再合适不过,快跟小编一起深入了解一下吧!
明星抗体三维数据卡
名称 |
ActivAbTMAnti-FASTK Polyclonal Antibody |
编号 |
K109635P |
交叉反应 |
Human Mouse |
应用 |
WB;IHC;IF |
推荐稀 释比例 |
WB 1:1000-3000. IHC 1:50-200. IF 1:50-200. |
抗体靶标
FASTK(Fas-Activated Serine/Threonine Kinase)基因是一个编码丝氨酸/苏氨酸蛋白激酶的基因。它位于人类染色体16q22.1上,其编码的蛋白质属于FASTK激酶家族,这个家族的特点是其成员通常包含保守的激酶结构域,并且多数与线粒体功能密切相关。FASTK可通过调控线粒体转录本稳定性影响能量代谢,在细胞凋亡和应激反应中起关键作用。新研究发现其异常表达与线粒体功能障碍疾病及肿瘤进展相关,可能成为新型治疗靶点。
蛋白分子量
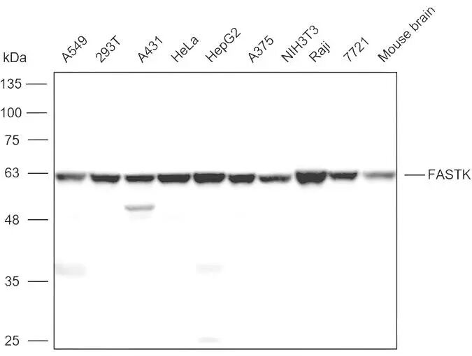
FASTK蛋白质的标准序列549个氨基酸,理论分子量约61kDa,实际蛋白分子量约63kDa(参考Western blot验证结果)。

图 1 K109635P-Western blot验证
亚细胞定位
FASTK定位于线粒体。

图 2 FASTK的亚细胞定位示意图

图 3 K109635P-Immunofluorescence验证
组织分布
FASTK在代谢活跃器官、神经与内分泌系统、增殖活跃组织和肿瘤组织中表达较高。

图 4 K109635P-Immunohistochemistry验证

图 5 K109635P-Immunohistochemistry验证
生物学功能
FASTK作为线粒体功能的关键调控因子,通过其独特的激酶活性和RNA结合特性参与多种细胞进程。它能够特异性识别并结合线粒体编码的mRNA,调控其稳定性及翻译效率,从而精细调节线粒体呼吸链复合物的生物合成。在应激条件下,FASTK通过磷酸化下游靶蛋白激活保护性信号通路,维持线粒体膜完整性并抑制过度凋亡。此外,FASTK还参与线粒体DNA的损伤修复过程,其功能缺陷可导致能量代谢紊乱和活性氧累积,进而引发神经退行性病变、心肌病及肿瘤代谢重编程等病理改变。
数据库分享链接
hope we have a bright summer
SwissProt: |
Q14296 Human |
|
SwissProt: |
Q9JIX9 Mouse |
|
SwissProt: |
Q5XIG7 Rat |
产品星推荐就到这里啦!
相关产品
货号 |
名称 |
K109635P-Ag |
ActivAbTMFASTK Antibody Blocking Peptide |
VT030884 |
pExpress-1-Fastk(rat) |
VT027888 |
pCMV-SPORT6-Fastk(mouse) |
VT020011 |
pExpress-1-FASTK(cattle) |
VT013567 |
pOTB7-FASTK(human) |
SE134 |
ActivAbTM羊抗兔IgG-HRP |
SF131 |
ActivAbTM羊抗小鼠IgG–FITC |
K1034G-AF594 |
ActivAbTM SAlexa Fluor 594 标记的羊抗兔IgG |
SR131 |
ActivAbTM ActivAbTM 羊抗小鼠IgG-RBITC |
PR1910 |
彩虹180广谱蛋白Marker(11-180KD) |
PC0020 |
BCA蛋白浓度测定试剂盒 |
SWBT-001A |
ActivAbTM Western blot通用试剂盒(兔) PVDF膜-0.45μm |
SIHCT-001 |
IHC通用试剂盒(兔/小鼠) |
PE0010 |
ECL Plus超敏发光液 |
P1200 |
SDS-PAGE凝胶制备试剂盒 |
SP0041 |
通用SP检测试剂盒 |